多做题,通过考试没问题!
CT医师大型医用设备上岗证
睦霖题库
>
大型设备上岗证
>
CT医师大型医用设备上岗证
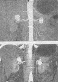
男,32岁,偶然发现有高血压,结合所示图像,最可能的诊断是()。
A、双侧肾动脉瘤
B、双侧假性肾动脉瘤
C、双侧肾动脉出血血肿形成
D、双侧肾动脉狭窄
E、双侧肾动脉夹层动脉瘤
正确答案:
A
答案解析:
有
进入题库查看解析
微信扫一扫手机做题
最热试题
·
腹部试题4
·
泌尿、生殖系统试题4
·
物理基础和仪器设备试题2
·
呼吸、循环系统试题5
·
五官和颈试题3
·
呼吸、循环系统试题4
·
消化系统试题3
·
呼吸、循环系统试题3
·
胸部试题3
·
胸部试题6
最新试题
·
下列骨囊肿CT表现中,错误的是:()
·
一个可靠的骨肿瘤诊断必须依靠()。
·
脑囊虫病中,病灶周围水肿明显时,CT分型应属于下列哪一项:()
·
胃憩室的好发部位是:()
·
下面关于脑室系统的正确描述是:()
·
以下哪项临床表现不是血管内应用碘对比剂的副反应:()
·
结核性胸膜炎发病原因少见于:()
·
下列哪一项不是典型门静脉瘤栓的表现:()
·
哪一项是诊断肺隔离症的最有特征性的影像学表现:()
·
有关急性胆囊炎的诊断,错误的是()。