多做题,通过考试没问题!
CT医师大型医用设备上岗证
睦霖题库
>
大型设备上岗证
>
CT医师大型医用设备上岗证
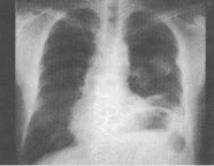
患者,男,67岁,胸痛半月余,胸片检查如图,最可能的诊断为()。
A、左上肺结核球
B、左上肺周围型肺癌
C、左上肺炎性假瘤
D、左上肺球形不张
E、左上肺脓肿
正确答案:
B
答案解析:
有
进入题库查看解析
微信扫一扫手机做题
最热试题
·
呼吸、循环系统试题6
·
腹部试题5
·
呼吸、循环系统试题8
·
颅脑试题6
·
胸部试题2
·
五官和颈试题3
·
腹部试题2
·
盆腔试题1
·
呼吸、循环系统试题5
·
脊柱试题1
最新试题
·
典型肝硬化的CT表现中正确的一项为:()
·
下列纵隔畸胎瘤CT表现,最具特征性的是哪一项:()
·
有关副脾的描述,错误的是:()
·
肺实质病变的CT表现是:()
·
肾盂肿瘤首选的检查方法是:()
·
怀疑癌性淋巴管炎患者,CT检查应采用的扫描方法为:()
·
下列哪种情况可见肾囊肿CT值升高:()
·
以下有关纵隔淋巴瘤的描述中哪一项是不正确的()。
·
下述哪一种肿瘤最易出血:()
·
转移性骨肿瘤溶骨性转移的CT表现中,哪种不对:()