多做题,通过考试没问题!
CT医师大型医用设备上岗证
睦霖题库
>
大型设备上岗证
>
CT医师大型医用设备上岗证
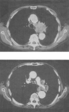
患者男,59岁,咳嗽,咳痰,痰中带血2个月余,CT检查如图,最可能的诊断是()。
A、肺结核
B、中央型肺癌
C、矽肺
D、肺炎
E、肺错构瘤
正确答案:
B
答案解析:
有
进入题库查看解析
微信扫一扫手机做题
最热试题
·
腹部试题5
·
呼吸、循环系统试题7
·
五官和颈试题2
·
呼吸、循环系统试题8
·
物理基础和仪器设备试题1
·
胸部试题5
·
颅脑试题4
·
胸部试题3
·
呼吸、循环系统试题6
·
脊柱试题1
最新试题
·
在窦汇上方的层面,幕切迹的边缘显示为:()
·
良性囊性腺瘤的CT表现不包括:()
·
下列哪一项是典型肝脓肿的CT表现:()
·
关于中耳鼓室型血管瘤CT表现的描述,不正确的是:()
·
胸膜间皮瘤的病理及X线表现中,哪项是不正确的()。
·
CT对甲状腺癌的诊断作用主要是哪一项:()
·
患者,男,40岁,右下颌骨膨隆。CT示下颌角有一2.5cm×3cm囊实性
·
以下哪一项CT表现不支持硬膜外血肿的诊断:()
·
颈内静脉淋巴结分:()
·
CT机将模拟电信号转变为数字信号的器件是:()