多做题,通过考试没问题!
CT医师大型医用设备上岗证
睦霖题库
>
大型设备上岗证
>
CT医师大型医用设备上岗证
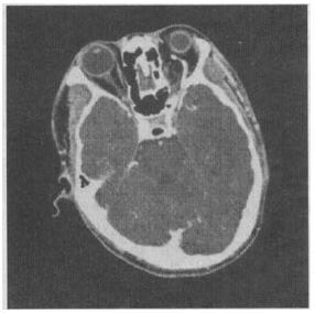
男性,28岁。外伤后出现眼球外突,扪之有搏动感,增强CT扫描见图示,应诊断为()。
A、颈内动脉海绵窦瘘
B、眼眶内AVM
C、眼眶内AVF
D、眼眶内AVM并AVF
E、眶内异物
正确答案:
A
答案解析:
有
进入题库查看解析
微信扫一扫手机做题
最热试题
·
胸部试题6
·
盆腔试题2
·
头颅和五官试题4
·
盆腔试题1
·
泌尿、生殖系统试题4
·
五官和颈试题2
·
头颅和五官试题6
·
颅脑试题6
·
呼吸、循环系统试题5
·
颅脑试题5
最新试题
·
肺癌可以通过支气管扩散,最常见于哪种类型?()
·
关于肠结核影像表现不正确的是()。
·
肾上腺髓脂瘤CT表现中,哪项错误()。
·
CT示颅底中线占位病变,斜坡及鞍背骨质破坏,瘤体密度不均质,可
·
食管裂孔疝是指:()
·
下列均为肾上腺功能亢进性病变,但应除外()。
·
有关Caroli病I型的CT表现,不正确的是哪一项:()
·
评价CT对腮腺肿瘤的诊断,哪一项是错误的:()
·
二尖瓣狭窄与二尖瓣关闭不全最大的区别是()。
·
下述Ebstein畸形的诊断要点,错误的是()。