多做题,通过考试没问题!
吉林住院医师耳鼻咽喉科
睦霖题库
>
吉林住院医师
>
吉林住院医师耳鼻咽喉科
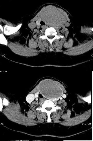
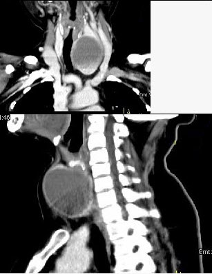
女,56岁,发现颈部肿块一月余,CT如图所示,最可能诊断为()。
A、甲状舌管囊肿
B、甲状腺乳头状癌
C、甲状腺原发淋巴瘤
D、甲状腺腺瘤
E、甲状腺脓肿
正确答案:
D
答案解析:
有
进入题库查看解析
微信扫一扫手机做题
最新试题
·
甲状腺下动脉多发自()。
·
甲状舌管瘘管内瘘口位于()。
·
女,64岁,发现双甲状腺肿大一月余,CT
·
颈丛麻醉选择点为()。
·
真性颈动脉瘤()。
·
如图,下面解剖标志正确的是()。
·
女性,48岁,颈部包块3年,近来胸闷、憋
·
治疗甲状舌管囊肿及瘘管的有效方法是()。
·
某患者,右侧胸锁乳突肌前缘下端可见一瘘孔
·
舌下腺、舌神经血管及舌下神经位于()。
热门试题
·
关于颈部肿块性质的4个"80%"和3个"
·
女性50岁,左侧面部肿胀,CT检查如图,
·
假性动脉瘤多由下列哪种因素引起()。
·
男,55岁,声嘶6年,有长期吸烟史。检查
·
鳃裂瘘()。
·
在气管食管沟内通过的是()。
·
治疗气管闭合性损伤的原则是()。
·
蜂窝织炎后期(脓肿已形成)应行()。
·
第二颈椎也叫()。
·
男,60岁,因吞咽疼痛伴咽异物感一个月就