多做题,通过考试没问题!
吉林住院医师耳鼻咽喉科
睦霖题库
>
吉林住院医师
>
吉林住院医师耳鼻咽喉科
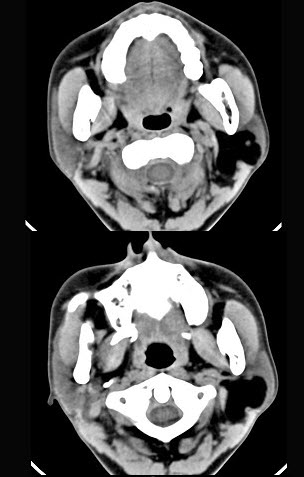
女性50岁,左侧面部肿胀,CT检查如图,应考虑为()。
A、左侧腮腺囊腺瘤
B、左侧腮腺囊肿
C、左侧腮腺脂肪瘤
D、左侧腮腺错构瘤
E、左侧腮腺炎
正确答案:
C
答案解析:
有
进入题库查看解析
微信扫一扫手机做题
最新试题
·
40岁,患者,左面部渐进性增大的包块,M
·
胸导管瘘()。
·
对颈部分区的描述,正确的是()。
·
副神经支配()。
·
对颈部血管性包块既有诊断意义,又有治疗价
·
胸锁乳突肌、二腹肌后腹、肩胛舌骨肌围成(
·
40岁,女性患者,双侧甲状腺肿大,CT扫
·
发生7年的颈部肿块一定是先天性颈部肿块。
·
起源于颈丛神经的神经鞘膜瘤多在()。
·
腮腺隙内包括下列哪些结构()。
热门试题
·
膈神经发自()。
·
患者,女性,32岁,因发现颈部肿块一个月
·
喉癌一般是男性多发,但是下面哪一种类型肿
·
腮腺鞘是由下面哪一层筋膜包裹而成()。
·
Ⅲ区()。
·
第一鳃裂瘘管外瘘口多位于(),内瘘口多位
·
颈动脉创伤性栓塞多发生在()。
·
颈淋巴结结核多发人群是()。
·
女,39岁,左颈部可扪及一肿块,无发热,
·
患者,女性,32岁,因发现颈部肿块一个月