多做题,通过考试没问题!
吉林住院医师耳鼻咽喉科
睦霖题库
>
吉林住院医师
>
吉林住院医师耳鼻咽喉科
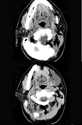
男,32岁,左侧下颌部肿块,CT如图所示,最可能的诊断是()。
A、造釉细胞瘤
B、颌骨囊肿
C、鳃裂囊肿
D、颈部淋巴管瘤
E、舌下腺囊肿
正确答案:
E
答案解析:
有
进入题库查看解析
微信扫一扫手机做题
最新试题
·
对扁桃体的描述,错误的是()。
·
鼻咽癌淋巴结转移首先转移至()。
·
腭扁桃体位于()。
·
女,8岁,头痛,鼻塞半年余,CT如图所示
·
67岁男性患者,咽喉部异物感3年余,从小
·
患者,男性,35岁。咽痛、发热伴头痛5天
·
咽的解剖说法错误的是()。
·
简述阻塞性睡眠呼吸暂停低通气综合征的治疗
·
扁桃体周脓肿最常见的致病菌是()。
·
咽旁脓肿可有()。
热门试题
·
后上型扁桃体周脓肿常发生于()。
·
咽旁隙外方通()。
·
通常所称的扁桃体是()。
·
已开展的鼻咽癌的EB病毒血清学检查方法包
·
对不适于手术治疗的OSAS患者可采用的治
·
在我国多发的肿瘤是()。
·
临床上成人不易患急性腺样体炎的原因为()
·
对咽壁纤维层的描述不包括()。
·
咽后壁的特点正确的是()。
·
女,4岁,右侧颈部可扪及一包块约两个月,