多做题,通过考试没问题!
吉林住院医师耳鼻咽喉科
睦霖题库
>
吉林住院医师
>
吉林住院医师耳鼻咽喉科
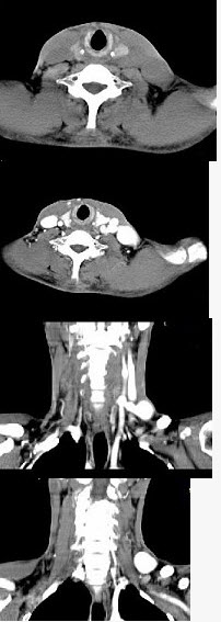
男,46岁,外伤后左下颈搏动性肿块,CT如图所示,最可能的诊断为()。
A、左颈部血管瘤
B、左颈动脉体瘤
C、左颈静脉球瘤
D、左颈总动脉假性动脉瘤
E、左颈部动、静脉畸形
正确答案:
D
答案解析:
有
进入题库查看解析
微信扫一扫手机做题
最新试题
·
甲状舌管囊肿的B超声像图特征是()。
·
对颈部解剖的描述,错误的是()。
·
男,60岁,因吞咽疼痛伴咽异物感一个月就
·
可引起Horner综合征的疾病有()。
·
颈深淋巴结上、下群的分界是()。
·
颈深上淋巴结收集()。
·
男,55岁,声嘶6年,有长期吸烟史。检查
·
外伤后颈部肿块,有明显杂音和震颤,要考虑
·
患者,女性,32岁,因发现颈部肿块一个月
·
肩胛舌骨肌、锁骨上缘、胸锁乳突肌围成()
热门试题
·
将颈深淋巴结分为颈深上及颈深下淋巴结的解
·
甲状舌管囊肿及瘘管的特征性临床表现是()
·
女,64岁,发现双甲状腺肿大一月余,CT
·
皮样囊肿()。
·
颈动脉创伤性栓塞临床症状可表现为()。
·
头颈肿瘤综合治疗中,强调计划性综合治疗,
·
椎-基底动脉供血不足可由下列那些因素引起
·
颈深淋巴结上群一般不收集哪一淋巴回流()
·
男,55岁,声嘶6年,有长期吸烟史。检查
·
女,56岁,发现颈部肿块一月余,CT如图